【医院名】
かざまき歯科
【住所】
東京都渋谷区渋谷3-1-9 渋谷第3KKビル2F
【連絡先】
Tel/Fax : 03-3486-7782
【診療時間】
月・火・水・木・金
【午前】 10:00〜13:30
【午後】 14:30〜19:30
土曜 : 午前中完全予約制
休診日 : 日・祝日
【診療内容】
歯周病治療・一般歯科・小児歯科・矯正歯科・審美歯科・インプラント治療・ホワイトニングその他・・・
渋谷 歯科・歯医者 審美歯科
かざまき歯科の考える審美歯科はその都度の治療において審美、機能美がなくてはならないと思っております。また、白い歯、形のいい歯での美しさはもちろん、全体の口元、顎口腔機能での調和がされてなくてはならないと思っております。
審美追求によく使われる材料
■ オールセラミッククラウン
金属を使わない、セラミックで全部おおわれている白い歯です。
セラミックは光を通すので、ご自身の歯と同じような透明感をだすことが出来ます。
神経の無い歯は、土台としてファイバーコア(透明な土台)を使用することで、同様の透明感がでます。
また経年的な歯肉の退縮(歯肉がさがること)にも、金属を使用していない為、金属の黒い線が見えて、見た目が悪くなることはありません。

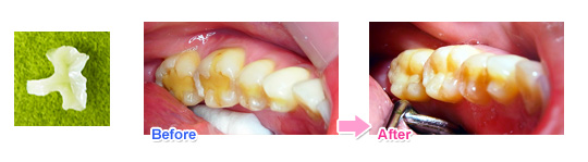
■ ラミネートベニア
歯の表面を約0.5mmだけ削り、セラミックの薄い板(つけ爪のようなもの)を貼り付けます。
色は接着材で調整でき、ご自身の好きな色を何回もトライして選ぶことができます。
■ セラミックインレー / ハイブリッドセラミックインレー
部分的なつめ物をする時にセラミックを使用する治療法です。

■ ホワイトニング
ご来院していただき、施術するオフィスホワイトニング(施術時間は1時間から1時間30分くらいです。)と、マウスピースを使用して、ご自宅で手軽にできるホームホワイトニングがあります。


